循環器内科
循環器内科
当科は狭心症、不整脈、心不全などの循環器疾患を担当しています。循環器疾患特に他の臓器と関連する疾患が多いため、かかりつけ医療機関や院内の各科専門と連携し総合的に診療を行っております。入院早期から心臓リハビリテーションを開始しADL保持に努めQOL向上のために努力しております。しかしADL低下症例に対しては自宅退院を目指ために家屋調査やご家族から情報収集などを積極的に行い個別に必要なリハビリ処方をチームで検討しております。高齢者心不全患者が急激に増加する状況:心不全パンデミックが近づいてきております。メディアにも取り上げられておりますが高齢者心不全は入退院を繰り返すことも特徴と言われております。当院では可能な限り入院を回避できるよう自宅の状況や患者背景を考慮し様々な業種(看護師・心臓リハビリスタッフ・栄養士・ソーシャルワーカー)が心不全チームを構成し治療方針を検討しております。退院後もかかりつけの先生方と可能な限り情報共有ができればと考えております。また経皮的冠動脈形成術(ステント留置術)や恒久的ペ−スメーカー植え込み術などが当院で可能であります。心臓血管外科治療が必要な症例や特殊治療が必要な症例に関しては大学病院などの高度医療機関と連携し治療方針を決定しております。高度医療機関での治療が必要であった患者さまが、地元でのリハビリができるように当院では開心術後患者や高度医療機関での特殊治療後患者さまの術後の転院を受け入れ本人の精神的ストレス軽減・ご家族の負担軽減を図るよう努めております。虚血性心疾患に関しては治療が必要かどうかを心筋シンチやFFRといった検査を行い虚血の証明を行い不必要な治療を回避することに努めております。大牟田・荒尾地区の先生方と連携をとりながらスタッフ一丸となって地域医療に貢献できればと考えております。
ロータブレーター
この度、当院におきまして、ロータブレーターを開始しました。
ロータブレーターはカテーテル先端にダイヤモンドがコーティングされたドリルを回転させて、
⾎管内の⽯灰化病変を削り取るカテーテル治療です。バルーン(⾵船)やステントでは対応でき
なかった⽯灰化のある⾎管病変に威⼒を発揮します。
これまでは久留⽶市や熊本市まで⾏かなければできなかった治療を当院で施設基準を取得し、
令和7年7⽉15⽇に最初の症例を⾏いました。
当⽇は、熊本⾚⼗字病院⼼⾎管カテーテル治療科部⻑池本智⼀先⽣をお迎えし、2症例を⾏い
問題なく終了しました。
ロータブレーターは虚⾎性⼼疾患のなかの冠動脈⽯灰化病変に対するカテーテル⼿術ですが
⾼度の技術を要します。熊本⼤学⼤学院⽣命科学研究部循環器内科学辻⽥賢⼀教授、同⼼臓
⾎管外科学福井寿啓教授のご⽀援により、⼤牟⽥・有明地区では初めての施⾏となりました。
ご不明な点は⼤牟⽥天領病院にお問い合わせ下さい。
MRI対応ペースメーカー/経皮的冠動脈形成術・ステント留置術について
恒久的ペースメーカー植え込み術や電池交換に対応できるようになっております。MRI対応ペースメーカーデバイスを使用しており、当院ではMRI対応ペースメーカーであればMRI撮影も可能です。リード耐久を考慮し全例胸郭外穿刺にてリード挿入を行っております。
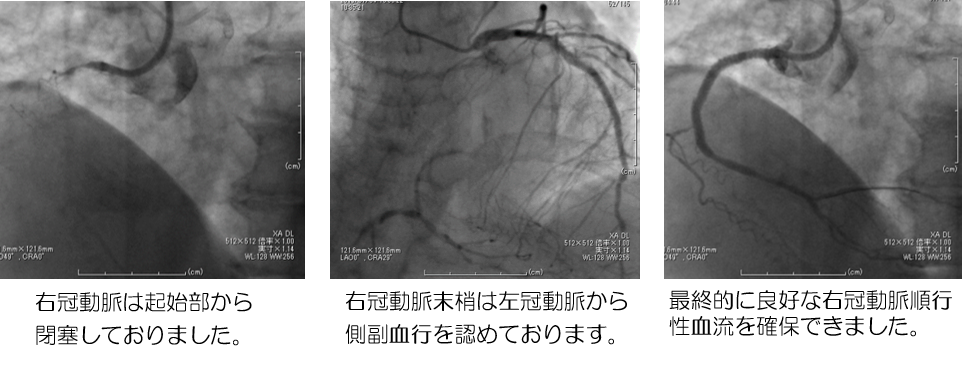
◯PCI歴のある透析中の女性
透析中の血圧低下あり精査したところ13年前に留置したステント部位の慢性冠動脈閉塞となっており、心筋シンチグラフィーにて誘発虚血を認めたため慢性冠動脈閉塞に対してPCIを施行。
ハイケアユニット(High Care Unit:高度治療室)にて急性冠症候群受入れ可能であり、本年度(2025)からロータブレータ(高速回転式経皮経管アテレクトミーカテーテル)を開始いたします。高度専門病院に紹介すべきは紹介し、当院で可能な医療は当院で行い、高次医療機関、医師会、開業医の先生方と連携し質の高い医療を提供致します。
スタッフ紹介

副院長 / 循環器内科部長
掃本 誠治 (ほきもと せいじ)
| 専門分野 | 循環器内科 一般 |
|---|---|
| 専門医・認定・所属学会等 | ・日本内科学会認定内科医 ・日本循環器学会循環器専門医FJCS ・日本心血管インターベンション治療学会(CVIT)名誉専門医 ・日本心臓病学会FJCC ・日本静脈学会 ・熊本大学客員教授 ・医学博士 |

循環器内科医長
緒方 文彦 (おがた ふみひこ)
| 専門分野 | 循環器内科 一般 |
|---|---|
| 専門医・認定・所属学会等 | ・日本循環器学会循環器専門医 ・日本内科学会内科専門医認定医 ・医学博士 |
□熊本大学 循環器内科(非常勤医師)
山本 英一郎 (やまもと えいいちろう)
中島 啓裕 (なかしま たかひろ)
奥野 佑樹 (おくの ゆうき)


