外科・消化器外科
外科・消化器外科
当科で取り扱う疾患、悪性疾患は消化管の癌、肝胆膵癌、乳癌など、また良性疾患では鼠経ヘルニアや胆石症や痔疾患、胃十二指腸潰瘍、大腸ポリープ、炎症性腸疾患、また救急疾患としての消化管穿孔や腸閉塞や虫垂炎などの治療に対応しています。また癌の化学療法や緩和治療も行っております。
診断や治療法は外科においてカンファレンスを行い決定されます。手術が必要な疾患は手術を行いますが、早期胃癌に対しては専門医が胃カメラを用いて粘膜切開剥離術を行い、また近年では大腸癌や直腸癌においては傷が小さく痛みも少なく体に優しい腹腔鏡手術治療の割合が増えています。大腸癌の閉塞に対して一時的にステント留置を実施したのちに手術を行うことによって以前のように人工肛門を作成することも少なくなってきました。
術後早期からのリハビリの導入や栄養指導により、チーム医療の推進にて早期退院を目指しています。また、患者さんの希望によっては地域包括ケア病棟で短期の術後療養ののちに自宅退院も可能です。現在確立している手術手技にとどまらずに新しい手術法や治療法を取り入れ、大牟田、荒尾にお住まいの患者さんの健康を守り地域に貢献したいと考えています。
消化管の疾患
消化管の疾患におきましては、上下部消化管内視鏡検査、腹部超音波検査、CT検査、MRI検査等により病気の早期発見・診断に努めております。治療におきましては内視鏡治療(内視鏡的ポリープ切除・粘膜剥離術や消化管ステント留置術など)や手術および薬物療法などの治療を行っております。
手術におきましては腹腔鏡による低侵襲手術も積極的に導入しております。
≪消化管内視鏡検査≫
消化管の病気を発見するのに大切な検査であり、当院では1年間に上部消化管内視鏡検査を約3800件、下部消化管内視鏡検査を約750件と非常に多くの内視鏡検査を行っています。また、治療内視鏡として大腸の内視鏡的ポリープ切除や粘膜剥離術(EMR)、早期の胃癌や食道癌に対して内視鏡的粘膜下層剥離術(ESD)、そのほかにも消化管ステント留置術や胃瘻造設術なども行っています。
≪消化管のがん≫
大腸がん、胃がんを中心に当科では最新の治療ガイドラインをベースとした治療を行っています。進行がんであっても新規薬剤(分子標的治療薬や免疫チェックポイント阻害剤など)を含めた薬物治療や手術を中心とした集学的治療により長期生存が得られる症例も増えてきております。また、閉塞性大腸癌に対して消化管ステントを挿入し、精査ののちに腹腔鏡下で切除術を行うことで以前のように人工肛門を造設することも少なくなってきました。このように進行がんでも治療成績は良くなってきておりますが、より良い治療結果のためには早期発見が大切ですので、積極的に検査を受けていただくように当科ではお勧めしております。
≪腹腔鏡手術≫
従来の開腹手術に比べ低侵襲な腹腔鏡手術も導入しております。
虫垂炎、ヘルニア(鼠径部、腹壁、閉鎖孔など)、胆石胆嚢炎、総胆管結石症、結腸憩室疾患、直腸脱などの良性疾患に加え、胃癌、大腸癌についても積極的に腹腔鏡手術を行っています。
肝胆膵疾患と診療
①肝臓の病気と治療
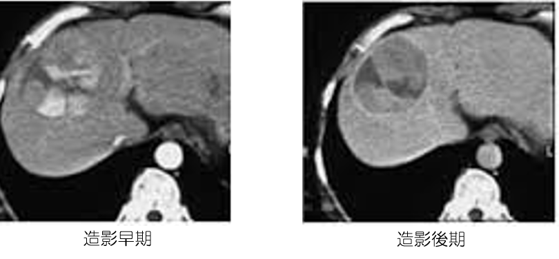
肝臓にできる腫瘍は、ほとんどが悪性腫瘍の肝臓がん(肝がん)で 原発性と転移性があります。原発性肝がんは肝臓そのものから発生したがんで、転移性肝がんは他臓器のがんが肝臓に転移してきたものです。
原発性肝がんには、肝臓の肝細胞由来の肝細胞がんと、胆管細胞由来の胆管細胞がん(肝内胆管がん)の2種類があり、原発性肝がんのうち90%以上は肝細胞がんです。その他、肝臓から発生する比較的稀な悪性腫瘍もあります。
《肝細胞がん》
約80%がB型やC型の肝炎ウイルスが原因です。最近では、アルコール摂取過多、糖尿病や肥満などの生活習慣から肝細がんが発生することが増えています。治療は、第一選択は外科手術(肝切除術)で、その他の治療としてラジオ波焼灼療法、肝動脈塞栓療法、放射線治療や陽子線治療があります。がんの状態や肝機能から治療法が選択されます。
《胆管細胞がん(肝内胆管がん)》
原発性肝がんのうち、約5%の頻度ですが、近年は増加傾向にあります。
背景の肝臓は正常肝であることがほとんどで、治療は肝切除術が根治が見込める治療法になります。
《転移性肝がん》
大腸がん、胃がんや膵臓がんなどの消化器系から、あるいは乳がん、肺がん、卵巣がんの転移であることもあります。背景の肝臓は正常肝であり、治療は大腸がんからの転移では、肝切除術が最も有効です。転移巣の個数が多い場合や腫瘍が大きい場合などは、抗がん剤治療が手術に先行して行われます。
②胆道の病気と治療
肝臓から十二指腸までの胆汁の通り道を総称して胆道といい、肝内胆管、肝外胆管、胆嚢、十二指腸乳頭(ファーター乳頭)に分けられます。肝外胆管は、さらに肝門部領域(肝臓に近い)と遠位領域(肝臓から遠い)胆管に分けられます。胆道がんは、比較的日本人に多い疾患です。胆管がんの原因は不明なことが多いですが、胆道拡張症、膵胆管合流異常や一部の化学物質(印刷工場で使用される様な)が胆管がんの発生に関係しているとされています。胆嚢がんの原因でも胆管がん同様に胆道拡張症や膵胆管合流異常が言われています。胆石との因果関係は証明されていませんが、胆嚢がんの約50%近くに胆石を合併しており、胆石症の治療の際にがんの存在も考慮されます。
◆治療
《肝門部領域胆管がん》
肝外胆管と胆嚢を切除し、さらに肝臓の左右どちらか半分を一緒に切除します。がんの範囲が広範な場合は、さらに膵臓も同時に切除することがあります
《遠位胆管がん》
肝外胆管と胆嚢を切除し、さらに膵頭部と十二指腸を一緒に切除します。
《胆のうがん》
胆のうがんは、遠隔転移がなく、解剖学的に取りきることが可能であれば手術療法の適応となります。胆嚢、肝臓の一部と胆管などを切除します。
《胆嚢の良性疾患》
胆嚢の良性疾患に、胆嚢結石症、胆嚢炎や総胆管結石があり腹腔鏡を使用した治療が行われます
③膵臓の病気と治療
膵臓は胃の後ろ側にある、長さ20cmほどの左右に細長い臓器です。膵臓の働きは、外分泌機能として消化酵素を産生し、内分泌機能としてホルモン(インスリンなど)を分泌し血液に出します。
《膵がん》
膵がんとは専門的には浸潤性膵管がんと呼ばれます。浸潤性膵管がんは、膵臓にできる腫瘍の90%を占めます。膵がんの発生と死亡数は、近年増加しており、膵がんの発症には、喫煙、膵がんの家族歴、糖尿病、慢性膵炎などとの関連が言われています。早期発見が非常に難しい疾患です。
治療は、がんが膵臓内に限局している場合、手術が最も根治的な治療法です。膵頭十二指腸切除術、膵体尾部切除術や膵全摘などになります。まずまず大きな手術ですが確立された手術法であり安全に行われます。他の臓器に転移がある場合や、がんが膵臓周囲の血管などに広がっている場合は、手術ではなく抗がん剤治療や放射線療法となります。最近では、手術前の抗がん剤治療や手術の後にも抗がん剤を行うことで、膵がんの根治性が高まっています。
《膵臓がん以外の膵腫瘍》
嚢胞性腫瘍や神経内分泌腫瘍(PNET)があります。嚢胞性腫瘍とは、腫瘍の中に液体が貯まった袋状の構造を含む腫瘍を指し代表的なものとして膵管内乳頭粘液性腫瘍(IPMN)、粘液性嚢胞腫瘍(MCN)、充実性偽乳頭状腫瘍(SPN)、漿液性嚢胞腫瘍(SCN)などがあります。良性や低悪性度の腫瘍であることが多く、腹腔鏡下手術が行われます。
①外科的手術の適応外の疾患
肝炎、胆のう炎や膵炎などの疾患の専門的な治療を行っています。
肛門外来について
2022年6月1日~肛門外来を開設いたしました。
肛門疾患のいくつかは生活習慣の改善で予防することができます。とくに便秘で難渋される方はおしりを治す前に便秘を治すことが優先され、それぞれのタイプに合った服薬治療を行なっています。前述のような痔疾患以外にもいろいろな病気がかくれており、痛みや出血、その他の様々な病態に対し、専門性をもって治療を行っております。
≪痔核≫
一番多い疾患で、便秘によるいきみや長時間の同じ姿勢による肛門の血流の悪化によって静脈が怒張していぼの様になったものです。肛門の内側にできる内痔核と外側にできる外痔核があります。内痔核は静脈の怒張がひどくなり、肛門周囲の組織が弱くなったりすると外に飛び出てきたり、出血がひどくなったりしますが、痛みはあまり感じません。外痔核は血栓ができたり、硬い便で力むと切れたりして痛みを感じます。内痔核の治療にはALTA療法(硫酸アルミニウムカリウム・タンニン酸)を第一選択として、出来るだけ痛みなく切らずに治すようにしています。これは内痔核の4か所に注射を行い、痔核を縮小し硬化させる「切らずになおす」治療法で、四段階注射法といいます。注射による合併症の頻度は極めて少ないですが、直腸狭窄・直腸潰瘍・出血などがあります。このような合併症を防ぐべく、決められた講習を受けた医師のみが施術できます。当院は実施施設です。すべての痔核に可能な手技ではありませんが、原則切らないと治らない痔核にも、ALTA 療法と併用することで切除は最小限とし、手術後の痛みを軽減させる工夫もしております。
≪痔瘻≫
肛門周囲膿瘍は肛門腺にばい菌が入り、肛門の周りが化膿して熱をもち強い痛みを伴う病態です。その経過が長いと膿が肛門近くの皮膚に穿通して瘻孔ができ痔瘻という病態になります。長年放置しておくと癌化することもあります。痔瘻は原則的に手術が必要です。それぞれのタイプにより、切開解放、ゴムを用いたSeton法など、最新の治療法が提供できるようにしています。
≪裂肛≫
切れ痔とも呼ばれ慢性化すると、肛門に疣、ポリープや潰瘍ができ、切れた傷が瘢痕化して肛門自体がせまくなり、排便困難、出血、肛門痛などの症状が伴うようになります。裂肛も患者さんの病態に応じて手術を含めた適切な治療を行っております。
スタッフ紹介

外科診療部長
松村 富二夫(まつむら ふじお)
| 専門分野 | 外科・消化器外科 |
|---|---|
| 専門医・認定・所属学会等 | ・日本外科学会指導医、専門医 ・日本消化器外科学会指導医、専門医 ・日本消化器外科学会消化器がん外科治療認定医 ・日本消化器内視鏡学会指導医、専門医 ・日本消化器病学会専門医、指導医 ・日本肝臓学会専門医、指導医 ・日本消化管学会専門医 ・日本感染症学会感染管理医師 ・麻酔科標榜医 ・検診マンモグラフィ読影認定医 ・身体障害者福祉法指定医 ・医学博士 |

外科部長
大川 尚臣 (おおかわ たかおみ)
| 専門分野 | 外科・消化器外科 |
|---|---|
| 専門医・認定・所属学会等 | ・日本外科学会指導医、専門医 ・日本消化器外科学会指導医、専門医 ・日本消化器外科学会消化器がん外科治療認定医 ・日本大腸肛門病学会指導医,専門医 ・日本消化器内視鏡学会専門医 ・医学博士 |

肝臓・胆のう・膵臓外科部長
堀内 彦之 (ほりうち ひろゆき)
| 専門分野 | 肝臓・胆のう・膵臓外科 |
|---|---|
| 専門医・認定・所属学会等 | ・日本外科学会指導医、専門医 ・日本消化器外科学会指導医、専門医 ・日本肝胆膵外科学会高度技能指導医 ・日本消化器外科学会消化器がん外科治療認定医 ・日本肝臓学会肝臓専門医、肝臓暫定指導医 ・日本膵臓学会指導医 ・麻酔標榜医 |

消化器外科部長
髙城 克暢 (たき かつのぶ)
| 専門分野 | 外科・消化器外科 |
|---|---|
| 専門医・認定・所属学会等 | ・日本外科学会外科専門医 ・日本消化器外科学会消化器外科専門医 ・日本消化器外科学会消化器がん外科治療認定医 ・日本消化器外科学会消化器外科指導医 ・日本消化器病学会消化器病専門医 ・日本消化器内視鏡学会消化器内視鏡専門医 ・日本がん治療認定医機構がん治療認定医 ・医学博士 |


